En Clínica Dental Raúl Pascual trabajamos cada día con la tecnología más avanzada para ofrecerte tratamientos eficaces, cómodos y con resultados estéticos impecables. Un claro ejemplo de ello son las coronas dentales 3D, que diseñamos y colocamos en una sola visita gracias a nuestro sistema digital CEREC.
¿Tienes un diente debilitado o fracturado? ¿Te gustaría recuperar tu sonrisa sin esperas ni prótesis temporales? Entonces este tratamiento puede ser para ti. En este artículo te contamos qué es una corona 3D, cuándo se recomienda y por qué cada vez más pacientes la eligen en nuestras clínicas de Sevilla Este y Nervión (Avda. Ramón y Cajal).
¿Qué es una corona dental 3D?
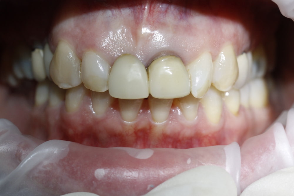
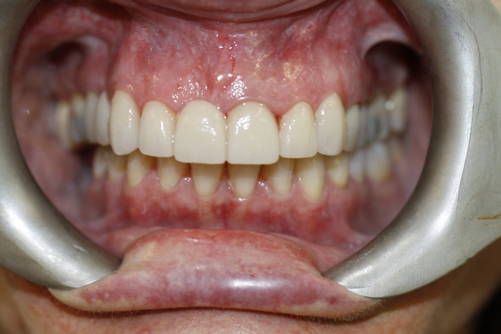
Una corona dental 3D es una prótesis personalizada creada con tecnología CAD/CAM que permite restaurar la forma, función y estética de una pieza dental dañada. En lugar de usar moldes físicos, se escanea digitalmente la boca del paciente y se diseña la corona por ordenador, que se talla en clínica con una fresadora de alta precisión.
En nuestra clínica utilizamos el sistema CEREC, que permite fabricar la corona en el momento y colocarla el mismo día, eliminando así los tiempos de espera y la necesidad de coronas temporales.
¿Cuándo se necesita una corona dental 3D?
Este tipo de restauración es ideal en situaciones donde el diente ha perdido estructura, presenta grandes caries o ha sido tratado previamente con una endodoncia. Las coronas 3D son recomendadas en casos como:
- Fracturas dentales o desgaste severo.
- Rehabilitación tras una endodoncia.
- Carillas antiguas o coronas que necesitan reemplazo.
- Caries extensas imposibles de restaurar con empastes convencionales.
- Mejoras estéticas en dientes desalineados, descoloridos o mal formados.
Tu dentista será quien evalúe si eres candidato para este tipo de restauración, valorando tu salud bucal y el estado de la pieza.


Ventajas de las coronas dentales 3D
Optar por una corona dental 3D supone una mejora en la comodidad, rapidez y precisión del tratamiento. En Clínica Dental Raúl Pascual, este procedimiento se ha convertido en una de las opciones preferidas por nuestros pacientes.
1. Restauración en una sola sesión
Gracias a CEREC, la corona se diseña, talla y coloca en el mismo día. Esto elimina las múltiples visitas a la clínica y reduce al mínimo el tiempo sin restauración definitiva.
2. Sin masillas ni cubetas
En lugar de moldes tradicionales, usamos nuestro escáner intraoral Primescan, que capta una imagen digital precisa de tu boca, sin incomodidades ni náuseas.
3. Alta precisión y ajuste perfecto
El diseño digital y el fresado computarizado permiten un ajuste milimétrico que mejora el confort y la duración de la corona.
4. Estética natural
Utilizamos bloques cerámicos de alta calidad, con tonalidades adaptadas a tu sonrisa. Las coronas son estéticamente muy parecidas al diente natural.
5. Mayor durabilidad
Las coronas de disilicato de litio que empleamos en clínica son resistentes al desgaste, a la fractura y pueden mantenerse en óptimas condiciones durante muchos años con una buena higiene.
¿Cómo es el procedimiento paso a paso?
- Valoración clínica y preparación del diente dañado.
- Escaneo digital 3D de tu boca con Primescan.
- Diseño de la corona por ordenador, adaptada a tu morfología dental.
- Fresado de la pieza con CEREC en la propia clínica.
- Prueba, ajuste y colocación definitiva en esa misma cita.
El proceso completo suele durar entre 2 y 3 horas, permitiéndote salir de la clínica con el tratamiento terminado el mismo día.
Diferencias entre una corona 3D y una tradicional
| Característica | Corona dental 3D | Corona tradicional |
| Tiempo de tratamiento | 1 sesión | 2 o más sesiones |
| Impresiones | Escáner digital | Masillas físicas |
| Colocación de provisionales | No | Sí |
| Diseño y fabricación | En clínica (CEREC) | En laboratorio externo |
| Precisión del ajuste | Alta | Media |
¿Todas las personas pueden llevar una corona dental 3D?
Aunque este tratamiento es muy versátil, no todos los casos se resuelven con tecnología CAD/CAM. En algunas situaciones más complejas, como grandes rehabilitaciones completas o necesidades especiales de oclusión, se puede optar por coronas elaboradas en laboratorio.
En cualquier caso, nuestro equipo valorará tu situación individual para recomendarte la opción más adecuada. En la mayoría de casos, la corona 3D resulta ser la solución más práctica, estética y rápida.
Cuidados posteriores y duración
El mantenimiento de una corona dental 3D es similar al de un diente natural. Recomendamos:
- Cepillado al menos 2 veces al día.
- Uso diario de hilo o cepillos interdentales.
- Evitar morder objetos duros.
- Revisiones periódicas para detectar posibles desgastes o desajustes.
Con estos cuidados, una corona de cerámica como la que realizamos en nuestra clínica puede durar más de 10 años en perfecto estado.
¿Cuál es el precio de una corona dental 3D?
En Clínica Dental Raúl Pascual, el coste de una corona 3D puede variar según el material y el tipo de restauración, pero incluye el diagnóstico, el escaneo digital y la fabricación en clínica con tecnología avanzada.
Además, ofrecemos financiación a medida para facilitar el acceso a este tratamiento. Pregunta en recepción o consulta en tu próxima cita.
Conclusión: ¿Es para ti una corona dental 3D?
Si buscas restaurar un diente dañado de forma rápida, precisa y con un resultado estético excelente, una corona dental 3D puede ser tu mejor opción. En Clínica Dental Raúl Pascual, contamos con la tecnología CEREC y el escáner Primescan para realizar este procedimiento de forma personalizada, cómoda y en una sola sesión.
¿Tienes dudas sobre este tratamiento? Pide tu cita en nuestras clínicas de Sevilla Este o Nervión, y uno de nuestros doctores te explicará si es la opción ideal para ti.
Tu sonrisa merece lo mejor. Y en nuestra clínica, ese “mejor” está al alcance de una sola sesión.


